- Whitening -


| 特徴 | ・施術中・後の痛みが大幅に少ない |
|---|



| 上顎6前歯 | ¥4,000×6歯=¥24,000+税 |
|---|---|
| 下顎6前歯 | ¥4,000×6歯=¥24,000+税 |
| 上下6前歯 | ¥4,000×12歯=¥40,000+税 |
※最低料金・・・¥12,000+税

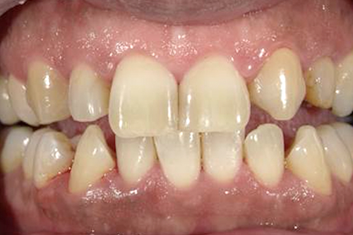
| 治療前 | 治療後 |
|---|---|
![]() |
![]() |
| 治療前 | 治療後 |
|---|---|
![]() |
![]() |


唇や歯肉を薬剤の刺激から守ります。


白くするための薬剤を塗ります。


ホワイトニングの効果を高めるためにUV照射を行います。

| 治療前 | 治療後 |
|---|---|
![]() |
![]() |
| 治療前 | 治療後 |
|---|---|
![]() |
![]() |